Dent, miroir de votre santé
Prendre rendez-vous
Nous vous accueillons dans notre cabinet dentaire privé, un lieu moderne et accueillant situé en République Démocratique du Congo. Notre mission est de fournir des soins dentaires de premier ordre, en combinant des technologies avancées avec une expertise reconnue. Notre équipe passionnée s'efforce de vous offrir une expérience agréable et sur mesure, adaptée à vos besoins. Avec nos traitements innovants et nos techniques de pointe, nous nous engageons à optimiser votre santé bucco-dentaire tout en vous aidant à afficher un sourire radieux. Choisissez notre cabinet pour des soins dentaires qui allient modernité et confort.
PROCEDURE
Consultation

Diagnostique et traitement

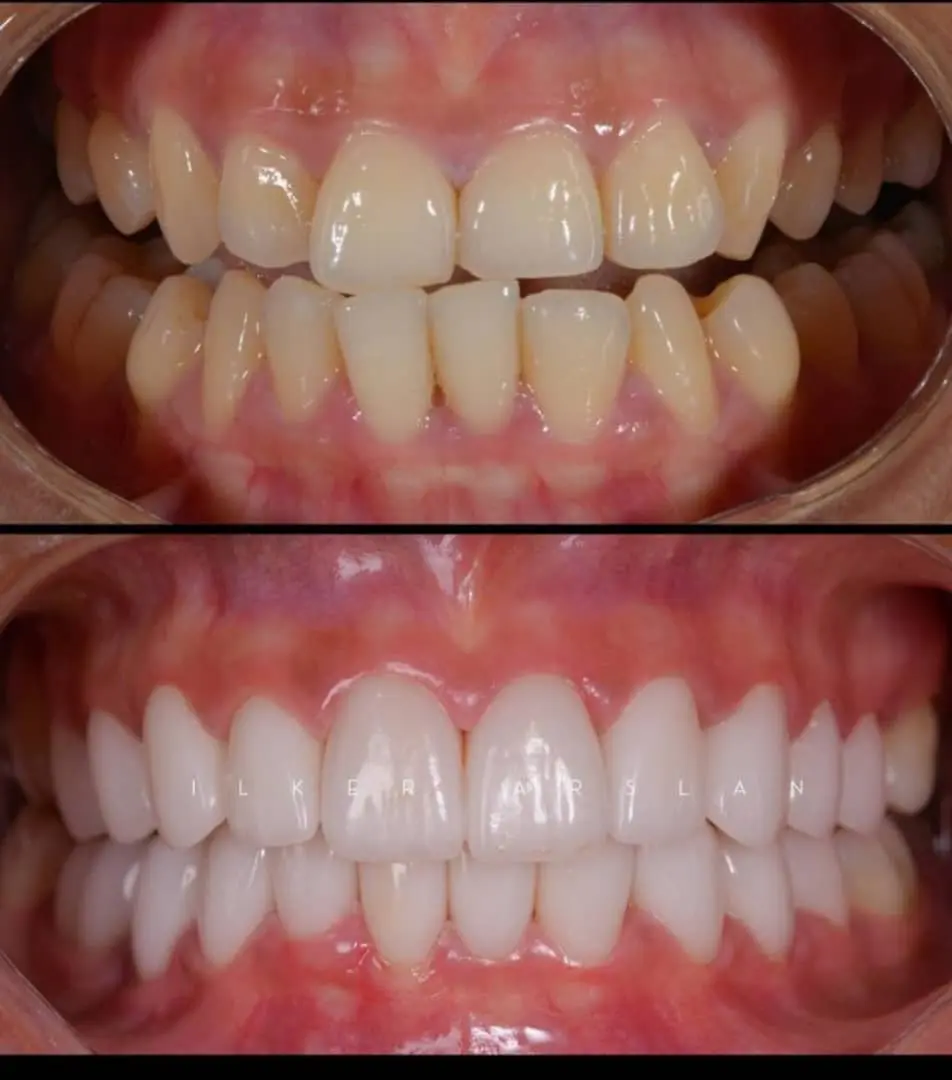
Cas cliniques traités
Les sourires transformés de nos patients
Nos meilleurs dentistes
!
Legela Nana
Medecin dentiste ( homnipraticienne)
Milondo Grace
Medecin dentiste ( homnipraticienne)
Tenge Rama
Medecin dentitse ( homnipraticien)
Furah Patricia
Medecin dentiste ( homnipraticienne)
Notre assistance médicale !
Maloba Rachel
Assistant d'accueil Lubumbashi
Lukandu Myriam
Assistante dentaire Lubumbashi
Balu Louise Ruth
Assistante d'accueil Kolwezi
Kumwimba Christine
Assistante dentaire Kolwezi
FAQ
Trouvez les reponses aux question les plus démandés par les patients
Comment soigné une carie dentaire ?
la Carie se soigne selon le stade le plus tôt vous consultez le dentiste plus simple sera ton traitement .
Quel type de brosse à dents est recommandé: manuelle ou électrique?
Les deux brosses conviennent mais attention les fibres de la brosse doivent Être souples,droites.
A quel fréquence devrais-je me brosser les dents ?
2 à 3 (après chaque repas ) ou 2 fois par jour …le matin après le petit dejeuner et le soir avant de se coucher ou après le diner .
Est-ce que le blanchiment dentaire est sur ?
Le blanchiment dentaire est
sûr
quand il est fait par un profesionnel de santé ( un dentiste de formation )..........
Comment traiter la sensibilité dentaire ?
Le meilleur moyen est de consulter un dentiste qui prescrira un traitement approprié selon le diagnostique qu'il établira après vous avoir examiner.
Quelles sont les causes de la mauvaise haleine et comment y remédier ?
Mauvaise hygiène buccale, les tartres, Alcol tabac etc.
Pour y rémedier :
- un detartrage régulier c-a-d deux fois par année soit une fois chaque six mois.
- réduir la consomation d'alcol et tabc
- brosser deux fois par jour soit : matin et soir avec un dentifrice thérapeutique ou cosmetique, utilisation de fil dentaire en soie, bain de bouche cosmetique ou thérapeutique
Un homme normal et conscient, consulte un dentiste tous les 3 mois!!!
Partenaires et références
Nous sommes à votre service depuis 2017.




Heures d'ouverture
-
Lundi 8h30-16h30
Madi 8h30-16h30
- Mercredi 8h30-16h30
- Jeudi 8h30-16h30
- Vendredi 8h30-16h30
- Samedi 8h30-12h30
Adresse
- Lubumbashi : 5374 Lac kipopo coin Kashobwe / Lubumbashi/ Haut-Katanga
- Kolwezi : Jolie site RVA/ Arret morse/ Clement Kamb réf résidence fifi masuka/ Manika/ Kolwezi / Haut-Lualaba